| Abstract |
Breast tuberculosis is an uncommon disease with nonspecific clinical, radiological, and histological findings. Investigations such as microscopy and culture are frequently negative, and diagnosis is frequently one of exclusion. We report a case of tuberculous breast abscess in a 46-year-old female case of Carcinoma Maxilla on palliative radiochemotherapy. Equivocal histology, negative Ziehl-Neelsen stain, and culture for acid-fast bacilli resulted in the abscess initially being diagnosed as granulomatous mastitis and treated accordingly. Subsequent development of a discharging sinus and history of immunosuppression raised suspicion of culture-negative tuberculosis. Treatment with standard antituberculous drugs was associated with complete resolution of the breast abscess. This case highlights the difficulty in differentiating culture negative tuberculosis from granulomatous mastitis. Also, the unusual age of presentation following radio and chemotherapy is noteworthy.
Keywords: Breast Tuberculosis, Granulomatous Mastitis, DOTS
| How to cite this article: De Sousa R, Patil R. Breast tuberculosis or granulomatous mastitis: A diagnostic dilemma. Ann Trop Med Public Health 2011;4:122-5 |
| How to cite this URL: De Sousa R, Patil R. Breast tuberculosis or granulomatous mastitis: A diagnostic dilemma. Ann Trop Med Public Health [serial online] 2011 [cited 2017 Nov 14];4:122-5. Available from: https://www.atmph.org/text.asp?2011/4/2/122/85767 |
| Introduction |
Breast tuberculosis (TB) is a rare disease, with an overall incidence of less than 0.1% of all breast lesions in Western countries and 3% of surgically treated breast lesions in developing countries. [1] Several Indian series reported the incidence of breast tuberculosis amongst the total number of mammary conditions to vary between 0.64 and 3.59%. [2] It commonly affects women in reproductive age group especially during lactation. It is a diagnostic challenge as it closely mimics carcinoma of the breast and pyogenic inflammatory disease.
Primary breast TB is rare. Breast TB may be classified into three types, namely: Nodular, disseminated, and sclerosing varieties. Mammography has limited role in the diagnosis because of its nonspecific features. When it occurs in elderly women, differentiation from malignancy is not possible. Differentiation from granulomatous mastitis is paramount because of the implications of corticosteroid therapy in an immunosuppressed patient with tuberculosis.
| Case Report |
In November 2008, M.P., a 46-year-old HIV negative woman presented with a lump in her left breast, which was growing slowly since the past fifteen days. Initial painless lump had now become painful with induration of skin and an ulcer formation two days prior to admission. She denied fever, night sweats, weight loss, or respiratory symptoms. Patient had completed 6 cycles of palliative Cisplatin chemotherapy and radiotherapy for Stage IV Carcinoma Maxilla 2 months ago. The patient gave no history of exposure to tuberculosis and no past history of breast or ovarian disease or tuberculosis. The patient was Para2 and had breastfed both children, and ceased breastfeeding seven years ago. She denied history of hormonal contraception. On examination, an ulcer over the left breast in the upper inner quadrant was seen, with purulent discharge and nipple retraction towards the ulcer. There was a 10 cm × 12 cm lump in the left breast with no adenopathy. No swellings were found in the opposite breast and axilla [Figure 1].
| Figure 1: Presentation – Ulcerated painful breast.
Click here to view |
Complete blood count showed no elevation of counts or raised Erythrocyte sedimentation rate (ESR).
Aspiration cytology from the left breast lump showed neutrophils, macrophages, and few giant cells, suggestive of granulomatous mastitis.
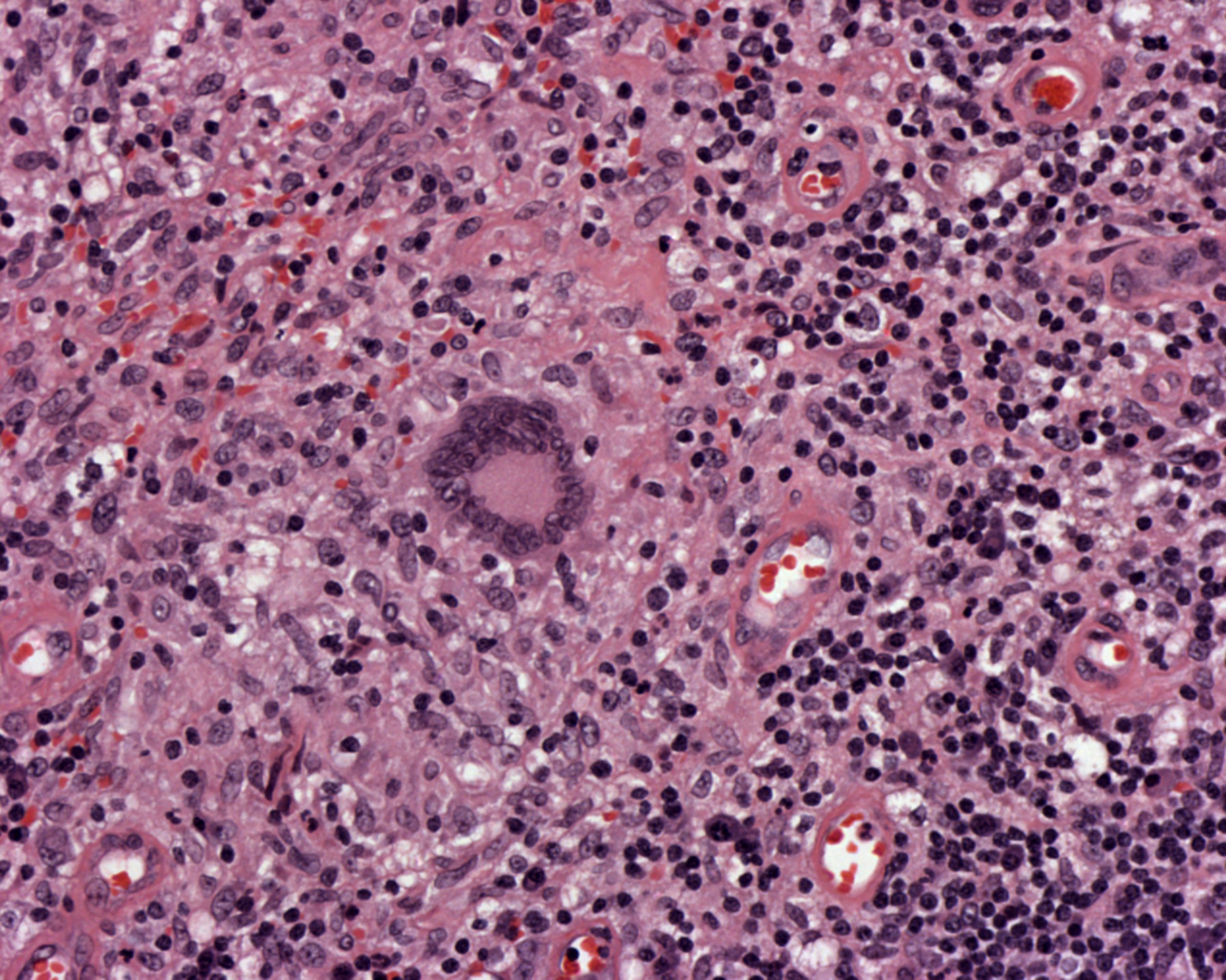
Reviewing the case, the painful ulcerated breast with purulent discharge prompted a decision taken to offer simple toilet mastectomy. The operative findings included purulent discharge from the ulcer and a surrounding chronic inflammatory granuloma, however no caseous necrosis was noted. Histopathology was reported as chronic granulomatous mastitis with presence of macrophages and Langhan giant cells [Figure 2]. There was no evidence of atypical epithelial hyperplasia or malignancy. Periodic acid-Schiff (PAS) and Gomori methenamine silver (GMS) staining of blocks were negative. Gram stain and Ziehl-Neelsen stain were negative. Serum Adenosine deaminase (ADA) was 26.87 IU/L (Normal <40 IU/L). A chest X-ray did not suggest current or previous TB disease. The patient had delayed healing and sutures were removed on the 14 th day postoperative. The patient was diagnosed as granulomatous mastitis and discharged on a course of cephalosporins.
| Figure 2: Histopathology – Granuloma with Langhan giant cell. (40×). |
Four weeks postoperative, she presented with a discharging sinus at the same location of the previous ulcer.[Figure 3] Surrounding skin was bluish and attenuated and there was a fluctuant underlying swelling. Patient complained of foul smelling purulent discharge through the sinus. Tenderness and fever were absent. The patient underwent local excision of the sinus. Based on patient profile, clinical features, and lack of response to antibiotic therapy, the patient was commenced on a four-drug (INH, Rifampicin, Ethambutol, and Pyrazinamide) six-month course of Directly Observed Therapy Short-Term (DOTS) – Category I. On completion of the course, no breast mass was palpable, the local wound had healed satisfactorily [Figure 4].
| Figure 3: Postoperative sinus
Click here to view |
| Figure 4: Post DOTS recovery.
Click here to view |
At present, the patient is undergoing second line chemotherapy for carcinoma maxilla (Ifosfamide, Cisplatin, Mesna.) with no recurrence of the abscess.
| Discussion |
Mammary tuberculosis accounts for 3% of breast pathologies in India and is five times less common than carcinoma of the breast. [3] It has been suggested that mammary gland tissue, like spleen and skeletal muscle, offers resistance to the survival and multiplication of the tubercle bacillus. [4] Women in the reproductive age are at risk as the breast shows periodic changes with menstruation and are more liable to trauma and infection. Pregnant and lactating breasts have increased blood flow and dilated ducts, making them more susceptible to tubercular infection. [5]
Mammary TB may be primary, when no demonstrable tuberculous focus exists, or secondary to a lesion elsewhere in the body. Primary infection of the breast may occur through skin abrasions or through the duct openings on the nipple. Direct extension from contiguous structures like underlying rib is possible. Infection of breast is generally secondary to a tuberculous focus elsewhere, which may not be clinically or radiologically apparent. Such a focus could be pulmonary or a lymph node in the paratracheal, internal mammary or axillary group with haematogenous spread. [6]
There are three clinical varieties of mammary TB – namely, nodular, sclerosing, and disseminated. [1] The nodular variant is often mistaken for a fibroadenoma or carcinoma and is the commonest accounting for 60% of cases. The disseminated variety commonly leads to caseation and sinus formation. Sclerosing TB affects older women and is slow growing with absence of suppuration.
Typically, the clinical picture is not one of active disease. In a review of 100 cases of TB mastitis in India, [5] constitutional symptoms of fever, weight loss, night sweats, and failing general health were present in 20% of patients only. Pulmonary symptoms such as persistent cough with sputum were found in only 2 patients. The chest radiograph was normal in 94 patients, old calcific TB was evident in 4 patients, and 2 patients had active pulmonary TB.
Immunosuppression is known to be associated with the resurgence of tuberculosis. This is associated with the HIV pandemic, but in our case could be attributed to the palliative radiotherapy and chemotherapy directed to the CA maxilla. The non-specific radiological findings are due to poor immunological reactivity to the bacillus.
The differential diagnosis of granulomatous inflammation in the breast [7] includes other infections (culture negative and Gram-, ZN-, and PAS stains were negative); sarcoidosis (suppuration not typical and no supportive clinical features), granulomatous reaction to tumour (no evidence of malignancy clinically, radiologically and pathologically), and foreign body reaction (no histological foreign body identified).
Originally described by Kessler and Wolloch in 1972, idiopathic granulomatous mastitis should be differentiated from other forms of periductal mastitis. Although the exact aetiology remains unclear, associations with autoimmune disorders, oral contraceptive use, pregnancy, hyperprolactinemia, and alpha1-antitrypsin deficiency have been suggested. [8] Patients usually present with an unilateral firm breast mass affecting any quadrant of the breast, which may develop into fistulae, abscesses, nipple inversion, and skin inflammation and ulceration. It accounts for 0.44-1.6% of all breast biopsy specimens. [9]
Diagnosis of breast TB is made by. [10]
- Mantoux test – This test is usually positive in endemic areas for TB. It only demonstrates previous exposure to TB.
- Mammography is of limited value as findings are indistinguishable from carcinoma breast. The mammographic picture of nodular tuberculosis is usually of a dense round area with indistinct margins seen without the classic halo sign found in fibroadenoma. Disseminated variety mimics inflammatory carcinoma and the radiographs show dense breast with thickened skin. Sclerosing TB mastitis reveals a homogenous dense mass with fibrous septae and nipple retraction.
- Fine Needle Aspiration Cytology can diagnose approximately 73% of breast TB cases. Demonstration of acid fast bacilli on FNAC is not mandatory since for AFB to be seen microscopically, their number must be 10,000-100,000/ml of material.
- Mycobacterial culture, the gold standard for the diagnosis of TB, is often negative due to the paucibacillary nature of breast TB.
- Nucleic Acid Amplification Tests such as polymerase chain reaction (PCR) are rapid and specific but suffer from low sensitivity especially in AFB smear negative cases.
- Histopathology can differentiate granulomatous mastitis due to predominantly lobular granulomas and absence of caseous necrosis, compared to tuberculous mastitis which usually centres around ducts rather than lobules.
Treatment of breast TB [10] with standard antituberculous therapy for 6 months usually results in good clinical response. The regimen consists of a two month intensive phase (isoniazid, rifampicin, pyrazinamide and ethambutol), followed by a four month continuation phase (isoniazid and rifampicin). Surgical intervention is only necessary if there is poor response to anti-TB therapy and is reserved for draining cold abscesses or excision of residual lumps. Simple mastectomy with or without axillary clearance is reserved for cases with extensive disease causing a large painful ulcerated mass involving the entire breast.
Our patient had a significant risk for TB infection as she lived in India with a high prevalence of TB. Also, the immunosuppressive palliative therapy put her at higher risk for opportunistic TB infection. Although TB was considered, the histological finding of granulomas without necrosis and culture negativity led to diagnosis as granulomatous mastitis. Subsequent sinus development and good response to antituberculous therapy prompted review of diagnosis to tuberculous mastitis.
In conclusion, breast TB is a diagnosis of exclusion, and should be suspected in patients from endemic countries, with poor response to antibiotic therapy of breast inflammation. In presence of a high clinical suspicion of TB, a trial of antituberculous therapy is warranted.
| References |
| 1. | Hamit HF, Ragsdale TH. Mammary tuberculosis. J Roy Soc Med 1982;75:764-5. |
| 2. | Mukerjee P, George M, Maheshwari HB, Rao CP. Tuberculosis of the breast. J Indian Med Assoc 1974;62:410-2. |
| 3. | Khanna R, Prasanna GV, Gupta P, Kumar M, Khanna S, Khanna AK. Mammary tuberculosis: Report on 52 cases. Postgrad med J 2002;78:422-24. |
| 4. | Bannerjee SN, Ananthakrishnan N, Mehta RB, Parkash S. Tuberculous mastitis: A continuing problem. World J Surg 1987;11:105-9. |
| 5. | Shinde SR, Chandawarkar RY, Deshmukh SP. Tuberculosis of the breast masquerading as carcinoma: A study of 100 patients. World J Surg 1995;19:379-81. |
| 6. | Kakker S, Kapila K, Singh MK, Verma K. Tuberculosis of the breast. A cytomorphologic study. Acta Cytol 2000;44:292-6. |
| 7. | Sriram KB, Moffatt D, Stapledon R. Tuberculosis infection of the breast mistaken for granulomatous mastitis: A case report. Cases J 2008;1:273 |
| 8. | Bani-Hani KE, Yaghan RJ, Matalka, Shatnawi NJ. Idiopathic granulomatous mastitis: Time to avoid unnecessary mastectomies. Breast J 2004;10:318-22. |
| 9. | Elsiddig KE, Khalil EA, Elhag IA, Elsafi ME, Suleiman GM, Elkhidir IM, et al. Granulomatous mammary disease: ten year’s experience with fine needle aspiration cytology. Int J Tuberc Lung Dis 2003;7:365-9. |
| 10. | Tewari M, Shukla HS. Breast tuberculosis: Diagnosis, clinical features and management. Indian J Med Res 2005;122:103-10. |
Source of Support: None, Conflict of Interest: None
| Check |
DOI: 10.4103/1755-6783.85767
| Figures |
[Figure 1], [Figure 2], [Figure 3], [Figure 4]
